水圧でやさしく持ち上げる、CAS-KIT導入で進化した上顎洞挙上術
🌿ソケットリフト(上顎洞挙上術)とは?
上の奥歯のあたりにインプラントを入れたいけれど、
骨の高さが足りない場合に行う骨を増やすための治療です。
上の奥歯の上には「上顎洞(じょうがくどう)」という空洞があります。
インプラントをしっかり支えるためには、骨の厚みが必要ですが、
この部分はもともと骨が薄い方も多く、抜歯後にさらに骨が減ってしまうこともあります。
そこで行うのが「ソケットリフト法」です。
💡こんな方に向いています
-
上の奥歯のインプラントを希望している
-
骨の高さが5〜7mm程度残っている
-
より低侵襲(体への負担が少ない)方法を希望している
⚠️ソケットリフトが向いていない症例
🦴 骨の高さが極端に少ない場合(3〜4mm以下)
ソケットリフトは、残っている骨が5mm程度以上ある場合に適しています。
それ以下だと、インプラントを支える力が足りず、
膜を持ち上げる時に破れるリスクが高くなります。👉 この場合は、ラテラルウィンドウ法(サイナスリフト)という、
横から大きく上顎洞にアクセスする方法を選ぶことが多いです。🧩今回のケース
この患者さんの骨の高さは 3.8ミリ しかありませんでした。
しかし、今回予定している カムログ社のインプラント は、最短でも9ミリ の長さが必要です。(理想を言えば骨は11ミリ必要)
そのため、骨が約5ミリ分足りない状態でした。今回は CAS-KIT を使って、上顎洞の膜を破らずに約6ミリ分、空洞の底を持ち上げ、
そのスペースに人工骨(骨補填材)(バイオスL)を充填して骨を増やす処置を行いました。(通法では3ミリ程度の挙上が限界です)今回の施術時間は38分でした。
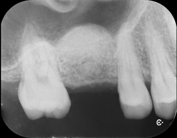
施術前のCT画像
施術後のレントゲン写真 - ※手前の歯の根の位置を目安にするとかなりの量が挙上されていることがわかります。
-
🦷CAS-KIT(キャスキット)とは
CAS-KIT(Crestal Approach Sinus Kit)は、
**上顎洞挙上術(ソケットリフト)**をより安全・正確に行うための、
専用の手術器具セットです。上の奥歯の骨の上には「上顎洞(じょうがくどう)」という空洞があります。
インプラントを入れるには十分な骨の厚みが必要ですが、
この空洞が近いと、ドリルで穴を開けるときに上顎洞の膜(シュナイダー膜)を傷つけてしまうリスクがあります。CAS-KITは、この膜を破らずに安全に押し上げるために開発された器具です。
⚙️CAS-KITの特徴と仕組み
-
専用のドリル構造
通常のドリルとは違い、先端が曲線処理してあり“ストッパー”を付けることができます。
これにより、削る深さをミリ単位で正確にコントロールでき、
うっかり上顎洞を突き抜けることを防ぎます。 -
水圧で膜を持ち上げる仕組み
骨のすぐ下にある膜を破らないように、
専用の注射器で生理食塩水をゆっくり注入し、水圧でやさしく膜を持ち上げることができます。
この方法を「ハイドロリフト法」と呼びます。これがこのCAS-KITの最大の強みだと思います。通常の挙上では先端が平らになっている棒状の器具で優しく力をかけていきますが、どうしても一点に力が集中するのでシュナイダー膜を破いてしまうリスクが挙上量を増やせば増やすだけ高くなります。この、ハイドロリフト法は棒で押すのではなく、水風船を膨らますように水圧で挙上します。水は全体に圧力を分散させながら膨らみます。理論上では、どこまでも挙上させることができるようになりますね。(取扱説明書では最大が6ミリと記載されています) -
低侵襲(ていしんしゅう)で痛み・腫れが少ない
従来の方法(側方アプローチ)では、歯ぐきを大きく開けて骨の横から空洞にアクセスしていましたが、
CAS-KITでは歯の穴の方向(垂直方向)から小さくアクセスするため、
術後の痛みや腫れが少なく、回復も早いのが特徴です。
-

